Atendimento Particular e Exclusivo

Seguro e Rápido
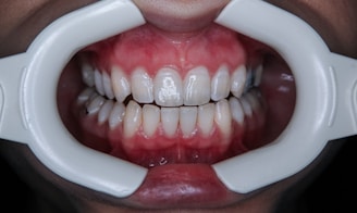
Resultados a partir da primeira sessão. Nosso aparelho LED violeta ajuda na redução de sensibilidade proveniente do clareamento.


Limpeza e clareamento
Combine a saúde e a estética para melhorar ainda mais os seus resultados. Faça uma limpeza antes de realizar o seu clareamento para remover os tártaros presentes e alcançar todas as áreas do seu dente.
TECNOLOGIA LED VIOLETA
Além de otimizar a ação do gel clareador para um sorriso mais brilhante, o clareamento dental com LED violeta reduz a sensibilidade, tornando o tratamento mais confortável e eficaz.
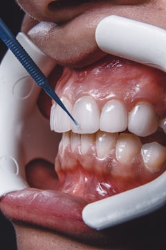
COMO FUNCIONA O CLAREAMENTO
O Clareamento LED Violeta é realizado em duas partes, começando pela limpeza dentária e após duas sessões de clareamento.
Limpeza Dentária
Uma limpeza antes do clareamento é ideal para removermos tártaros e outros resíduos entre os dentes.
Duas sessões de Clareamento
Após realizada a limpeza colocamos gel clareador nos dentes e um gel protetor nas gengivas e realizamos uma sessão de 15 minutos. Após, realizamos a remoção e aplicamos o gel novamente para maior eficácia. Depois de pronta a segunda sessão o seu clareamento está pronto e os resultados já são visíveis.
MAIORES VANTAGENS


Dentes Claros
Resultado 100% garantido, podendo ser realizado mais sessões de acordo com o objetivo do paciente.
Clareamento LED Violeta
Redução da sensibilidade
Reduz a sensibilidade gerada comparado ao tratamento tradicional.
Resultado Rápido
Você já vê resultados desde a primeira sessão.
Perguntas Frequentes
Pode tomar café e/ou fumar cigarro?
Sim, hoje não existem estudos que comprovem resultados negativos com o uso do café ou cigarro, mas é importante ressaltar, não faz mal evitar o uso durante a primeira semana após a realização do clareamento.
Ele funciona para todos?
Sim, o clareamento LED Violeta consegue resultados para todos os pacientes, mas a reação do organismo e os objetivos dos pacientes podem exigir mais sessões para chegar no sorriso ideal.
Doi realizar o tratamento?
Não, com a nova tecnologia LED Violeta os resultados costumam apresentar uma leve sensibilidade em até dois dias após realizado o clareamento. Alguns pacientes não relatam sentir nenhum desconforto após o tratamento.
É necessário realizar a limpeza junto?
Não, caso você tenha realizado a limpeza recentemente não é necessário, mas é muito importante realizar junto caso você esteja um tempo sem realizar, pois a limpeza pode ajudar na eficácia e saúde do tratamento.
Quanto tempo dura?
Cada paciente tem uma reação diferente, podendo durar entre 1 a 3 anos, geralmente.
